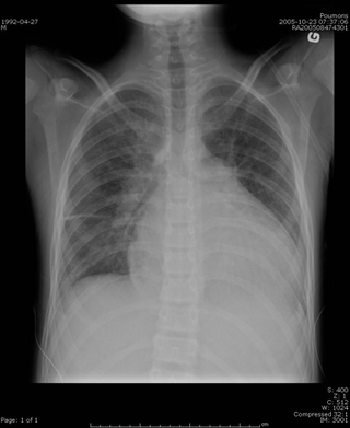
La cardiomégalie est une augmentation anormale de la taille du cœur. Elle peut être dépistée par une radiographie thoracique de face, en position debout, montrant un index cardiothoracique supérieur à 0,5 ou 0,55. Cet index est égal au rapport entre le plus grand diamètre horizontal du cœur et le plus grand diamètre horizontal du thorax, mesurés sur une radiographie thoracique conventionnelle.
Un « gros cœur » peut être du, soit à une augmentation d'une ou plusieurs cavités cardiaques, par exemple dans le cadre d'une cardiomyopathie dilatée, soit à un épaississement important des parois des ventricules cardiaques (hypertrophie ventriculaire gauche dans le cadre d'une cardiomyopathie hypertrophique). Il peut également parfois témoigner d'un épanchement péricardique. Ces différents diagnostics sont tranchés par une échocardiographie.
Notes et références
Liens externes
- Ressources relatives à la santé :
- DiseasesDB
- ICD-10 Version:2016
- ICD9Data.com
- Medical Subject Headings
- PatientLikeMe
- Store medisinske leksikon
- WikiSkripta
- Portail de la médecine


